せきとたん

「咳嗽反応(せき)は、気道内に貯留した分泌物や吸い込まれた異物を気道外に排除するための生体防御反応である」~日本呼吸器学会 咳嗽に関するガイドライン第2版より~
つまり、せきは、のどの奥から肺までの空気の通り道の粘膜表面に分布する知覚神経が刺激されると出ます。健康な方でも刺激のある気体を吸ったり、誤って飲み物をむせたりするとせきがでます。
からせき(乾いた咳)を起こす原因の多くは風邪です。風邪は鼻汁、のどの痛み、たん、微熱などの症状を伴います。ただし風邪によるせきは、数日以内でピークを越えて、次第に症状が治まるのが一般的です。
では、“たん”はなぜ出るのでしょうか。たんは気道から出る分泌物です。健康な方でも常に少しずつ出ていますが、再吸収されたり無意識に飲み込まれたりしているのであまり意識しません。しかし、空気の通り道(気管~気管支)の粘膜表面に強い刺激や炎症が長く続くと、増えるため感じるようになります。最も多い原因は風邪ですが、通常風邪によるたんは1週間程度で良くなってきます。
せきやたんが、なかなかすっきりしないときはどうしたらよいのでしょうか。
せきの原因を推測して原因に
応じた治療方法を考えます。
- ① せきが続く期間
- ② せきの出るタイミング
- ③ せきの性質
- ④ 最後に(それぞれのエピソードを組み合わせて診断する)
によってどのような病態を想定するかを解説します。
① せきが続く期間ついて

症状持続期間と感染症による咳嗽(がいそう)比較(咳嗽に関するガイドラインより)

せきの原因をある程度推定するために、3週間未満のせきを「急性咳嗽(がいそう)」、3週間以上8週間未満のせきを「遷延性(せんえんせい)咳嗽(がいそう)」、8週間以上続くせきを「慢性咳嗽(がいそう)」と分類しています。
図のように、急性咳嗽(がいそう)の原因の多くは風邪を含む感染症である可能性が高く、慢性咳嗽(がいそう)では感染症そのものが原因となることはまれで、ほかに原因がある場合がほとんどということになります。
実は、せきは体力をとても消費します。強い咳をすると1回あたり2キロカロリー消費するといわれています。1時間当たり5回の咳を1週間すると・・・
2キロカロリー/回×5回/時間×24時間×7日間=1680キロカロリー!!

それに、咳が続くと筋肉痛になり、ひどいときには肋骨にヒビが入ることがあります。症状を抑える薬などで治療を行いつつ安静にしましょう。
せきやたんの症状が2週間以上続く場合、肺結核ということがあります。肺結核は微熱があり寝汗をかく、むしろ鼻汁や頭痛などはなく、体調の良い日と悪い日があるという特徴があります。インフルエンザや風邪では2週間も症状は続きません。

厚生労働省健康局結核感染症課2011
結核は、生活水準の高い先進国では患者数の少ない病気ですが、日本は、アメリカやカナダ、オランダなどと比較すると、結核にかかる人の比率(罹患率)が多く、その対策が大きな課題となっています。
マイコプラズマ、クラミジア、百日咳菌などによる気管支炎の場合は、感染症であっても3週間以上のせきが続くことがあります。百日咳は子供だけではなく、大人にも発症します。百日咳によるせきは出始めてから3週間ほど経つと(痙(けい)咳(がい)期(き))、抗菌薬が効かなくなり、咳止めや気管支拡張薬を使って治療を継続することになります
「慢性咳嗽(がいそう)」と言われる、8週間以上続くせきの場合は、感染症以外の病気の可能性が高くなります。気管支喘息、アレルギー性鼻炎、胃食道逆流症、一部の降圧薬の副作用、間質性肺炎、肺がんなどによるせきを考えます。
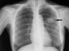
せきが長く続く時は胸のエックス線写真を撮りましょう。肺結核や間質性肺炎、肺がんでは異常陰影が見えることがあります。

② せきの出るタイミングについて

昼間より夜にせきがよく出る。夜間にせきで目が覚める場合は、咳(せき)喘息(ぜんそく)を考えます。せきの出やすい季節(時期)がある、同じ状況でせきが出やすいなどの特徴があります。多くは慢性(まんせい)咳嗽(がいそう)(8週間以上続くせき)に分類されるせきですが、風邪の後になかなかせきが止まらず診断されたという方もよく経験します。
咳(せき)喘息(ぜんそく)の経過中に30~40%の方はゼイゼイする(喘鳴(ぜんめい))ようになり、気管支喘息を発症するといわれています。吸入ステロイドは、咳喘息によく効くとともに気管支喘息に移行することを抑える効果が報告されていますので早めの治療をしましょう。
会話や食事などにてせきが悪化するとき、胃食道逆流症(GERD)によるせきかもしれません。多くは、からせき(たんのないせき)です。

胃と食道のつなぎ目は下部食道括約筋(かつやくきん)の作用で、胃内容物が逆流しないようになっていますが、胃食道逆流症(GERD)の方は、胃内容物が食道下部にある神経(迷走神経)を刺激してせきが出ます。胸やけのある方、せき払いがしたくなる、声がれがある(咽喉頭逆流症状)のある方は要注意です。食後すぐに横になるのは避けましょう。

食事の時また食後にいつもせきやたんの出る方は、誤嚥(ごえん)性(せい)肺炎に注意が必要です。飲み込む力が低下すると、食べ物や唾液(だえき)が食道に流れず、気管に入り肺炎を起こす病気です。ご高齢の方には大なり小なり見られ、重症化することもあります。食事を工夫すること、口腔ケア(口の中をきれいにしておく)をすること、肺炎球菌ワクチンを接種すること、そして早めの肺炎治療が重要です。
副鼻腔(ふくびくう)気管支症候群の方は、朝起きたときにせきとたんの出ることが多く見られます。息苦しさはあまり感じません。鼻汁がのどの奥に垂れ込んでいる(後鼻漏(こうびろう))症状のある方、副鼻腔炎(いわゆる“ちくのう症”)のある方または治療したことのある方は、耳鼻科で鼻を診てもらうとともに、呼吸器内科で胸部X線やCTなど肺の検査をしましょう。

昼間も夜もかかわらず咳が出るときは、一般的には風邪のようなウイルス感染症によることがほとんどですが、マイコプラズマ、クラミジア、百日咳菌、肺結核などの特別な菌による感染症の場合、間質性肺炎の場合、肺がんの場合などもあります。タバコを長年吸ってきた方であればCOPD(肺気腫(はいきしゅ)や慢性気管支炎など)の可能性があります。息切れも感じている方、症状が長引く時は呼吸器内科を受診しましょう。
③ せきの性質について
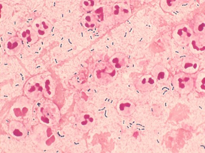
たんのからむせき(湿性(しっせい)咳嗽(がいそう))の場合は、たんのでる原因(たんの増える病気)がある可能性が高いと考えます。ウイルス感染症(一般的な風邪)の多くでは、細菌感染を合併することが多く、黄色や緑色のたんの出る場合は、二次感染(ウイルス感染などの後に細菌感染を合併すること)を起こしている可能性が高いため抗菌剤治療を行います。受診しましょう。

(肺炎球菌のグラム染色)
尚、血痰も出るときは、肺がんや肺結核、気管支拡張症からの出血などの可能性がありますので、早急に呼吸器内科専門医を受診し精査してください。
鼻炎の症状や、後鼻漏(鼻汁がのどの奥に垂れ込んでくる状態)のある方は、副鼻腔(ふくびくう)気管支症候群によるせきやたんの可能性があります。朝起きたときにはせきとたんが出て日中は止まる場合もあり、症状が軽く年単位で続くようなケースが見られます。耳鼻科で鼻を診てもらうとともに、呼吸器内科で胸部X線やCTなど肺の検査をしましょう。
たばこを吸う方は、せきやたんのでる方が多くおられます。症状を緩和させるためには禁煙をおすすめしますが、すべてがタバコのせいばかりとも限りません。症状が続くようなら受診をおすすめします。当院では、保険診療範囲内で、禁煙治療を受けていただくことができます。
せきとともに息切れを感じるときは、COPD(慢性閉塞性肺疾患)や気管支喘息、ACOS(気管支喘息-COPDオーバーラップ症候群)など気道(空気の通り道)の病気を合併している場合、間質性肺炎などの肺が固くなる病気、心不全(心臓の動きが悪いために肺に影響して酸素不足になる)の場合などが考えられます。
COPDはタバコを吸う方に起こる病気です。“COPD集団スクリーニング質問票”をチェックしてみてください。4点以上のひとはCOPDかもしれません。
④ 最後に(それぞれのエピソードを組み合わせて診断する)
①せきが続く期間、②せきの出るタイミング、③せきの性質を確認したら、それぞれのエピソードを組み合わせて診断をします。いくつかの病気が重なっている方もおられますので治療をしつつ診断を進めていくこともあります。
長文にお付き合いいただき有難うございました。いかがでしたか。
せきやたんでお困りの方はご相談お待ちしております。

